Smile Gallery: Orthodontics
It's never too late to get the smile you've always dreamed of. Take a look at how our happy patients got a smile makeover through orthodontics:


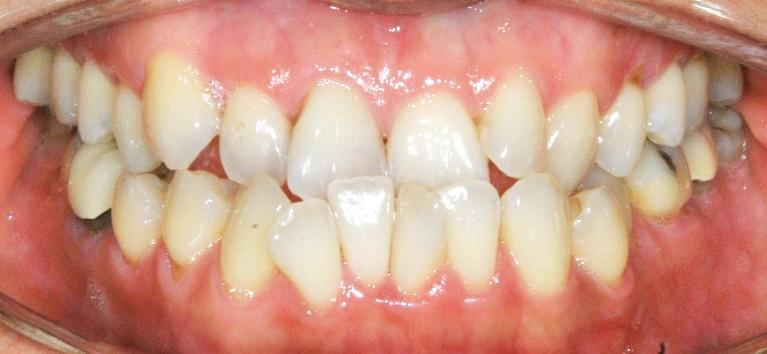
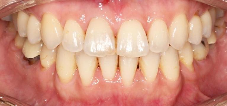
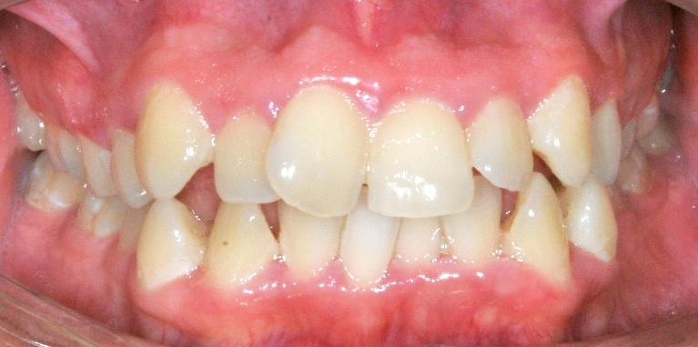
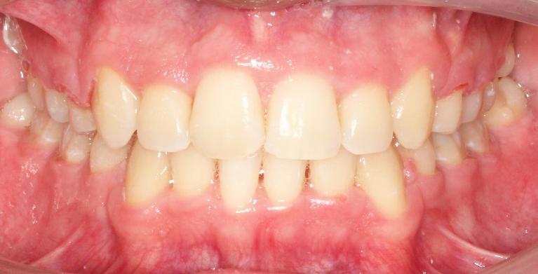
Severe crowding corrected after extractions and braces for two years. The patient was thrilled with the results. It is never too late to receive orthodontic treatment and this patient was excited to finally achieve their dream smile. Over half our orthodontic patients are adults who are able to find treatment plans that work for them, no matter their age.


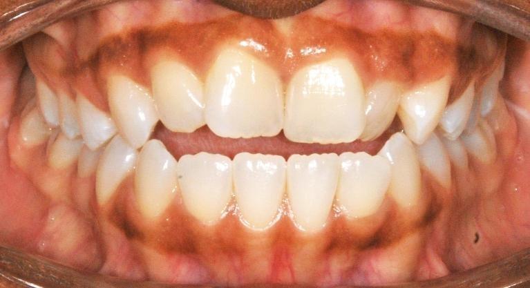
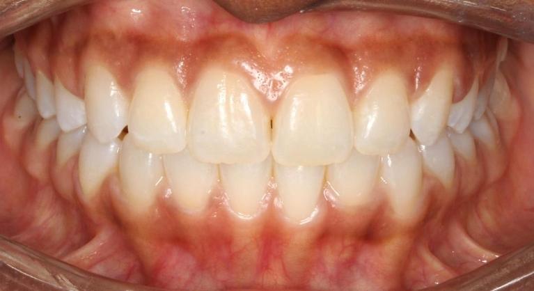
Crossbites and deviated midlines corrected with braces within two years. The patient now has newfound confidence to smile. Many adolescents such as this patients are a good candidate for braces because their adult teeth have just erupted and the natural anatomy is still present. We find that preteen and teenage years are the ideal time to start orthodontic treatments.


This patient had crowding and anterior crossbite corrected with Invisalign within 1.5 years. As a Platinum Invisalign provider, Dr. Cheng, is an expert in creating treatment plans that work for each patient. The total number of trays and wear time vary between patients and our patients come to see us every few months to ensure they are progressing correctly. Invisalign is an option for both adolescents and adults.


Removed a mesiodens (extra) tooth to create more space for an adequate eruption of upper adult canines. Phase I completed within one year. This is the first phase of our two-phase orthodontic treatment and the goal is to correct existing problems before moving forward with braces. Following the end of this treatment, the patient will take a one to a two-year resting period before being moved into phase two, which includes braces or Invisalign treatment.


Anterior teeth closed down after TADs and Braces for two years. Bite closure improves speech and chewing function as well as esthetics. TADs or Temporary Anchorage Devices, are small, hypoallergenic, medical-grade titanium alloy pins used to aid in orthodontic tooth movement. These are placed in rare cases when the benefits outweigh the risk and used in supplement with braces.


Overbite and upper flaring treated with Invisalign treatment after one year. Dr. Cheng, is a certified Platinum Invisalign® provider and is an expert at this course of treatment. Through a series of trays, customized to fit your teeth and your treatment plan, your teeth will begin to shift and move into place. Some patients use as few as 10 trays throughout their treatment and some use as many as 40, but each case is unique.


Crowding and open bite treated with Invisalign within one year. As a certified Platinum Invisalign® provider, Dr. Cheng, is an expert with the treatment. Patients will change trays every 1-2 weeks, and some patients may need only 10 trays to complete their treatment. Each case, such as this one, is unique.


Openbite, underbite, and crowding are all corrected with braces and TADs within two years. TADS, or Temporary Anchorage Devices, are small pins aimed to assist with widening narrow jaw, closing large gaps, and eliminating the need for appliances. With the help of TADs and braces, this patient was able to attain their straight, dream smile in just two years.


Crowding and underbite were fully corrected after extractions and braces for two years. The patient now has better chewing function as well as enhanced smile esthetics. At our office, extractions are completed by general dentists and recovery is usually 1-7 days. Braces follow the extraction and can be placed in many forms, depending on the patient's preferred treatment plan.


Thumbsucking habit stopped and open bite closed. Teeth well aligned after 1.5 years of braces treatment. The patient now has better speech and chewing function, as well as a beautiful smile. Braces treatment is ideal at the adolescent stage for many reasons but especially because it allows issues to be corrected when the adult teeth are at their most naturally anatomic stage.


Severe crowding corrected with extractions and braces within two years. Extractions take place before the braces in order to create more space in the mouth. Typically, these are done with nitrous oxide and recovery ranges from 1-7 days. Following the extraction, the patient will begin their braces treatment plan. Each plan is unique to the patient and will provide the patient with a beautiful, straight smile.
Friendliest staff and doctors that genuinely care. My daughter had braces done at Vision Dental with Dr. Cheng, and she now has the most beautiful smile. I can see a big difference in her self-esteem and confidence, and am so glad we came. The office is clean, and I was always impressed by their helpful staff. Highly recommend! -Bella S.